|
|
|
February 2002, Vol 24, No. 2 |
Update Articles
|
Management of stroke in the new millennium
R T K Ho 何定國
HK Pract 2002;24:83-91
Summary
Stroke (brain attack) is the number 3 killer worldwide. It is the leading cause of disability in adults. It is estimated that up to one half of all strokes can be prevented through stroke risk detection and risk management. Therefore in spite of new and exciting treatments for acute stroke, prevention remains the key objective..
摘要
中風是全球第三號殺手,也是成人致殘的首要原 因。通過儘早發現和控制中風的危險因素,約半數的中風是可以預防的。雖然急性中風的治療和藥物方面有令人興奮的顯著進展,但預防依然是問題的關鍵。
|
Figure 1: Pie chart of major stroke subtypes
|
 |
Introduction
In Hong Kong each year, stroke (brain attack) claims about 3500 lives and about 16,000 people suffer a new or recurrent stroke each year. Stroke is the third leading cause of death behind heart disease and cancer. The major stroke subtypes are cerebral infarction (ischaemic stroke), intracerebral haemorrhage (ICH) and subarachnoid haemorrhage (Figure 1). The incidence of various stroke subtypes is listed in (Figure 2). ICH is more common in the Chinese population. About 50% of ICH are due to hypertension. The subtypes of ischaemic strokes are listed in (Figure 3), with lacunar infarction predominating.1 This paper will deal mainly with the management of ischaemic strokes, and touch only briefly on ICH.
|
| Figure 2: Incidence of stroke subtypes |
| Infarction |
160 per 100,000 |
| Intracerebral haemorrhage |
52 per 100,000 |
| Subarachnoid haemorrhage |
16 per 100,000 |
|
|
| Figure 3: Subtypes of ischaemic stroke1 |
- Lacunar
- Atherothrombotic
- Cardioembolic
- Undetermined
|
55% 21% 19% 4.5%
|
|
|
Intracerebral haemorrhage (ICH)
ICH accounts for about 24% of the major stroke subtypes and is more prevalent in the Chinese population. All patients presenting with symptoms of stroke must be screened for haemorrhage. CT remains the best diagnostic tool. The management of ICH remains controversial but important guidelines exist. The majority of ICH can be managed conservatively even though surgery may have a beneficial and life saving role in specific situations.
Surgery is usually indicated in the following scenarios:
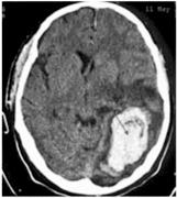
- Large clots in the frontal, temporal or occipital regions with progressive clinical deterioration (Figure 4).
- Acute cerebellar haematoma larger than 3cm (Figure 5).
- Deep seated basal ganglia haematoma in the non-dominant hemisphere producing progressive deficit in the subacute phase.
|
|
Figure 4: L. temporal occipital clot with mass effect, pre and post surgery
|
|
|
|
|
Left temporal-occipital clot with mass effect
|
After surgery, good recovery
|
|
|
|
| Figure 5: Acute cerebellar haematoma |
|
|
|
|
Most neurosurgeons will not intervene when:
- The clot is very large, deep and producing late signs of brain herniation in an elderly patient.
- Large and deep dominant hemisphere clots with severe deficits.
- Small clots producing mild and non-progressive deficits.
Ischaemic stroke
Management strategies for ischaemic stroke come under 3 major headings:
- Stroke risk detection and risk management.
- Treatment of acute ischaemic stroke.
- Patient and public education programmes.
Stroke risk detection and risk management
Non-modifiable risks factors
These factors, although 'non-modifiable', help identify individuals who are at high risk of stroke and who would benefit from rigorous prevention and treatment of modifiable risk factors.
Age - Substantially increases the risk of stroke. The risk doubles in each successive decade after 55 years of age.
Sex - Stroke is more prevalent in men than women. However, stroke related fatalities are higher in women than men. Circumstances such as oral contraceptive use and pregnancy uniquely contribute to the risk of stroke in women.
Race and family history - Epidemiological studies show an increase in the incidence of stroke in blacks and in Hispanic Americans. Chinese and Japanese also have a high incidence of stroke.2 Both paternal and maternal history of stroke may be associated with increased stroke risk. A variety of mechanisms may be involved including genetic inheritance of stroke risk factors or susceptibility to the effects of such risk factors and familial sharing of environmental and lifestyle factors.3
Well-documented modifiable risks factors
Hypertension - Is a major contributing factor in up to 70% of strokes.4 Patients with blood pressure higher than 160/95 have approximately four times greater risk of stroke than patients who do not have hypertension. According to one US study, about 50 million Americans have elevated blood pressure (>140/90) and only 55% have their blood pressure aedequately controlled with antihypertensive medication.5 Isolated systolic hypertension is an important risk factor for stroke in the elderly (systolic BP>160mmHg). Poor patient compliance with long term treatment is a major cause for inaedequate control of hypertension. Patients need to be properly educated and motivated to take responsibility for the control of their hypertension.
Smoking - Increases the relative risk of stroke from between 2.5 to 9.8 times depending on the gender and type of stroke. Females who smoke more than 25 cigarettes per day increase their risk of thromboembolic and haemorrhagic stroke by a factor of 3.7 and 9.8 times respectively.6 The good news is that stroke risk reverts to that of nonsmokers at 5 years from cessation.7 Switching over to cigar smoking confers little benefit.8 Exposure to environmental tobacco smoke (passive smoking) also significantly increases the risk of both coronary artery disease and stroke.9Diabetes Leads to an increased relative risk of ischaemic stroke ranging from 1.8 to 6 fold. Overall, diabetics have twice the risk of brain infarction compared with non-diabetics.10 The combination of diabetes and hypertension further increases the stroke risk; several studies have shown that tight blood pressure control in diabetes significantly reduces stroke incidence.11
Hyperlipidaemia - Has been shown to increase the incidence of stroke in patients with a previous history of myocardial infarction (MI) and treatment with a statin is recommended for this group of patients.12 The role of statins in stroke reduction in those without a history of MI is less definite; major clinical trials are being conducted to answer this question. From a practical stand point, however, it may be reasonable to treat all stroke patients with hyperlipidaemia (cholesterol >200mg.dl and LDL>100mg/dl).
Carotid stenosis - Is a relatively uncommon cause of stroke in the Chinese population. However, a significant increased in risk of stroke is associated with carotid stenosis of between 70-99%. Angiography remains the gold standard for pre-operative assessment, although non-invasive means such as ultrasound and MR angiography are assuming an increasing role. Carotid stenosis commonly presents with symptoms of transient ischaemic attack (TIA) which differ depending on the vascular territory involved (Figure 6). Management strategies for carotid stenosis are listed in (Figure 7).4
|
|
Atrial Fibrillation (AF) - Is the most common source of cardiogenic embolism to the brain. Non valvular AF increases the risk of embolic stroke by six times compared to those without AF.4 About 36% of strokes in patients between the ages of 80 to 89 can be attributed to non valvular AF. Anticoagulation with warfarin reduces the risk of stroke by 68% with a low risk of haemorrhagic complications.13 A recent cohort study identified a subgroup of AF patients with low stroke risk who can be treated effectively with aspirin alone; these patients are younger than 60 years and do not have hypertension, congestive heart failure or previous history of thromboembolism (Figure 8).
|
| Figure 8: Decision Algorithm for Warfarin Therapy14 |
|
|
|
Other cardiac diseases - Dilated cardiomyopathy, valvular heart disease and congenital heart defects all contribute to a small increased risk of thromboembolic stroke. Previous MI increases the risk of stroke by a factor of two. Peri-operative stroke occurs in 1% to 7% of patients undergoing cardiac surgery.
|
|
Less well-documented or potentially modifiable risk factors
Obesity - Predisposes to cardiovascular disease and stroke. This may in part be due to the association of obesity with hypertension, diabetes and hyperlipidaemia. Studies have also shown that abdominal obesity rather than general obesity is more closely related to stroke risk.15
Lack of physical activity - May lead to increased risk of both stroke and heart disease. It is recommended that moderate exercise be carried out for approximately 3.5 hours per week. The physician may, however, need to make adjustments based on the health limitations of each individual.
Alcohol - The effect of alcohol use on stroke risk is complex and likely dose dependent. Heavy alcohol use (>5 drinks per day) may be a significant risk factor for both ischaemic and haemorrhagic stroke. Moderate alcohol intake (<2 drinks per day) has been shown to be protective against stroke as well as cardio-vascular disease.16
Diet/nutrition - There is no evidence that vitamin C or E supplements significantly reduces the risk of stroke. There may be a protective effect associated with consumption of fruits and vegetables, especially cruciferous and green leafy vegetables and citrus fruit and juice.17
Drug abuse - A consistent increase in the risk of both ischaemic and haemorrhagic stroke has been demonstrated in cocaine and heroine abusers.18 The pathogenesis is likely to be multifactorial, including sudden blood pressure surges, vasculitis, and haematological abnormalities.
Hormone replacement therapy - The risk of stroke associated with hormone replacement therapy appears to be low. Until more data is available, usage should be guided by factors other than stroke risk.
Oral contraceptive usage - The risk of stroke associated with use of low-dose oral contraceptives appears to be low in women without additional risk factors. Oral contraceptives should be avoided in women with additional risk factors such as cigarette smoking or prior thromboembolic events.
Antiplatelet therapy for stroke
Meta-analysis data from multiple randomised trials showed that antiplatelet therapy reduced the risk of non fatal stroke and vascular death by 25% in patients at high risk for occlusive vascular disease.19 The commonly available antiplatelet agents include Aspirin, Dipyridamole, Ticlopodine and Clopidogrel. Their sites of action are shown below (Figure 9).
Aspirin has proven effectiveness for stroke prevention in doses as low as 30mg/day. Both Ticlopodine and Clopidogrel have a slight advantage over aspirin in reducing stroke risk but Ticlopodine has the disadvantage of requiring blood monitoring in the initial phase of treatment. The European Stroke Prevention Study 2 showed the combination of aspirin 50mg/day with dipyridamole 400mg/day to be very effective in stroke prevention.
|
| Figure 9: Actions of available Antiplatelet Agents |
|
|
|
Thrombolysis for acute ischaemic stroke
Pathophysiology of ischaemic stroke
Progressive reduction of cerebral blood flow leads to a continuum of metabolic and ionic disturbances which eventually ends in brain cell death. Animal models backed by human Positron Emission Tomography (PET) studies have shown that regional cerebral blood flow (rCBF) below 12ml/100g/min results in necrosis whereas only transient neurological deficits occur when rCBF remains above 22ml/100g/min. Tissue with rCBF between 12 and 22ml/100g/min represents the ischaemic penumbra an area of decompromised parenchyma surrounding the ischaemic core which has the potential for recovery, but only if blood flow is rapidly reestablished. Other factors such as collateral blood circulation and duration of blood flow reduction are also important in determining the final outcome of an ischaemic event.
|
|
Thrombolysis with tissue plasminogen activator (TPA) for acute ischaemic stroke
TPA is an enzyme produced by recombinant DNA technology. It converts plasminogen to plasmin within the thrombus resulting in clot lysis. In 1996 the FDA approved TPA for the treatment of acute ischaemic stroke within the first 3 hours of acute stroke onset. This was based on the findings of the National Institute of Neurological Disorders and Stroke (NINDS) -TPA trials which showed significant improvement of stroke outcome in treated patients.20 The treated group showed statistically significant results in all four endpoints i.e. National Institute of Health Stroke Scale (NIHSS), Modified Rankin Scale, Barthel Index and Glasgow Coma Outcome. There was also lower mortality and 1 year follow up demonstrated that the treated group was more likely to have minimal or no disability. It is estimated that TPA treatment increases the chance of making a good neurologic recovery by about 30%.
The main inclusion criteria for thrombolytic therapy are:
-
| Figure 10: CT showing early (left) and late changes (right) of a large MCA territory infarction |
 |
 |
Ischaemic stroke with a defined onset of <3 hour before commencement of TPA.
- There should be moderate to severe neurological deficit.
- CT scan must not demonstrate early signs of a large middle cerebral artery (MCA) territory infarction or intracranial haemorrhage (Figure 10).
Contraindications to TPA treatment include:
- Haemorrhagic infarction
- Hypertension: systolic >185mmHg diastolic >110mmHg
- History of warfarin therapy or prothrombin time >15 seconds
- Platelet count <100,000
Stroke MRI - represents the next level of refinement in the application of thrombolytic therapy and may extend the therapeutic time window to beyond 3 hours. Diffusion weighted imaging (DWI) gives more precise early information on the size of the ischaemic insult whereas perfusion images provide useful information on the size of the ischaemic penumbra (Figure 11).
|
| Figure 11: Stroke MRI: Fast stroke examination carried out under 10 minutes. |
 |
Note 1. : Absence of ischaemic change on the conventional MRI (Grase) at 2 hours 2. : Mismatch between diffusion weighted image (DWI-I) and perfusion time to peak image (TTP) image indicating potentially salvageable penumbral tissue |
|
Patient and public education programme
In North America, it is estimated that only 3-13% of stroke patients successfully receive thrombolytic therapy. The implementation of TPA therapy for Hong Kong stroke patients remains in serious doubt. Firstly, there is a severe lack of Acute Stroke Units in government hospitals where the majority of stroke patients are likely to present. Secondly, Acute Stroke Units place huge logistic demands on hospitals in terms of costs, manpower and scanning facilities and are therefore unlikely to be welcomed in government based A & E Departments with high existing work loads. Complementing this is the low level of stroke awareness amongst the Hong Kong public. This became evident in a survey commissioned by the Brain Centre in January 2001 and conducted by the Hong Kong Institute of Asia - Pacific Study at the Chinese University of Hong Kong (unpublished).
The results of the survey carried out on 643 adults showed the majority (94.7%) had little or no knowledge of stroke. The majority did not know the warning signs nor the long term effects of stroke. Almost 100% did not know the first 3-6 hours after stroke onset is most critical for effective management. Eighty percent expressed an urgent need for special facilities for treatment and prevention of stroke.
An aggressive on going public education and stroke awareness programme will be essential to raise the level of stroke knowledge in Hong Kong. Hopefully, by the time this is implemented, the standard of stroke care in Hong Kong will also have improved so that patients presenting with acute stroke symptoms will have the opportunity of receiving TPA treatment. In addition, public education will lea)d to more effective stroke prevention, which should always remain the primary goal and forefront of stroke management.
|
Key messages
- Up to 50% of all strokes may be prevented through effective management of modifiable risk factors.
- Treatment with antiplatelet agents offers a significant stroke risk reduction in patients presenting with stroke and transient ischaemic attacks.
- Acute stroke patients who are eligible for TPA treatment have a 30% better chance of making a good neurological recovery.
- Ongoing public education is essential to raise the level of stroke awareness in Hong Kong.
R T K Ho, MBBS(HK), MRCP(UK), FRCP(Edin.), FHKAM Specialist in Neurology, Medical Director, The Brain Centre Foundation, The Brain Centre.
Correspondence to : Dr R T K Ho, The Brain Centre, Canossa Hospital, No.1 Old Peak Road, Hong Kong.
References
- Yumihiro Tanizaki, Yutaka Kiyohara, Isao Kato, et al. Incidence and Risk Factors for Subtypes of Cerebral Infarction in a General Population. The Hisyama Study.
Stroke 2000;31(11).
- He J, Klag MJ, Wu Z, et al. Stroke in the People's Republic of China, Geographic variations in incidence and risk factors.
Stroke 1995;26:2222-2227.
- Liao D, Myers R, Hunt S, et al. Familial history of stroke and stroke risk: the Family Heart Study.
Stroke 1997;28:1908-1912.
- Gorelick PB, Sacco RL, Smith DB, et al. Prevention of first stroke: a review of guidelines and a multidisciplinary consensus statement from the National Stroke Association.
JAMA 1999;281:1112-1120.
- The 6th Report of the Joint National Committee for Detection, Evaluation, and Treatment of High Blood Pressure. Bethesda, MD: National Heart, Lung, and Blood Institute; 1997.
- Colditz GA, Bonita R, Stampfer MJ, et al. Cigarette smoking and risk of stroke in middle aged women.
N Engl J Med 1988;318:937-941.
- Wolf PA, D' Agostino RB, Kannel WB, et al. Cigarette smoking as a risk factor for stroke: the Framingham study.
JAMA 1988;259:1025-1029.
- Wannamethee SG, Shaper AG, Whincup PH, et al. Smoking cessation and the risk of stroke in middle-aged men.
JAMA 1995;274:155-160.
- Bonita R, Duncan J, Truelsen T, et al. Passive smoking as well as active smoking increases the risk of acute stroke.
Tob Control 1999;8:156-160.
- Kannel WB, McGee DL. Diabetes and cardiovascular disease: the Framingham Study.
JAMA 1979;241:2035-2038.
- Effect of intensive diabetes treatment on nerve conduction in the Diabetes Control and Complications Trial.
Ann Neurol 1995;38:869-880.
- Blauw GJ, Lagaay AM, Smelt AH, et al. Stroke, statins, and
cholesterol: a meta-analysis of randomised, placebo-controlled, double-blind trials fifth HMG-Co-A reductase inhibitors. Stroke 1997;28:946-950.
- Albers GW. Atrial fibrillation and stroke : three new studies, three remaining questions.
Arch Intern Med 1994;154:1443-1448.
- DuPont Pharma product information algorithm.
- Walker SP, Rimm EB, Ascherio A, et al. Body size and fat distribution as predictors of stroke among US men.
Am J Epidemiol 1996;144:1143-1150.
- Sacco RL, Elkind M, Boden-Albala B, et al. The protective effect of moderate alcohol consumption on ischemic stroke.
JAMA 1999;281:53-60.
- Joshipura KJ, Ascherio A, Manson JE, et al. Fruit and vegetable intake in relation to risk of ischemic stroke.
JAMA 1999;282:1233-1239.
- Kaku DA, Lowenstein DH. Emergence of recreational drug abuse as a major risk factor for stroke in young adults.
Ann Intern Med 1990;113:821-827.
- Collaborative overview of randomised trials of antiplatelet therapy. Prevention of death, myocardial infarction, and stroke by prolonged antiplatelet therapy in various categories of patients.
BMJ 1994;308:81-106.
- The National Institute of Neurological Disorders and Stroke rt-PA Stroke Study Group: Tissue plasminogen activator for acute ischaemic stroke.
N Engl J Med 1995;333:1581.
|
|